2023-05-13
Powerlifting as Back Care
We have started up Drug-Free Powerlifting Australia and I consider it an important part of our Back Care Program. When I tell people this they usually laugh, but I am serious - let me explain.

Several things happen as we age, and most of them aren’t desirable. We lose roughly 1% of our muscle mass per year from the age of 40, and even more after the age of 60, due to a phenomenon called Sarcopenia.
[The cross-sectional leg figure from the original post could not be recovered: it returns 404 on the live site and the local export did not include it.]
There are many theories why this occurs, and one big reason is the common belief that as we get older, we are simply meant to do less; carry less weight, exert less energy, and be all-around careful and less active. Due to this way of thinking, people’s strength training decreases, and so does their muscle mass. They lose the denser muscle mass and replace it with increased body fat.
To illustrate why this happens and how it can be avoided we will look at a concept called SAID – this is short for Specific Adaptation to Imposed Demand.
The SAID principle asserts that the human body adapts specifically to imposed demands. It demonstrates that, given stressors on the human system, whether biomechanical or neurological, there will be a Specific Adaptation to Imposed Demands (SAID).
This is a complex way of saying that the body will adapt to whatever you expose it to. If you want to get stronger and retain muscles, you must load them accordingly.
Muscles, unlike fat, are highly metabolic. That means it takes a lot of energy to operate them. Another way to look at is it that it is expensive. It costs a lot of energy to keep them around. This is essentially why muscles atrophy (shrink) so fast. If your body doesn’t need to use the muscles, it might as well get rid of them. Why continue to spend energy on something never used? This is also a Specific Adaptation, but the Imposed Demand is a sedentary lifestyle. The common phrase “Use them or Lose them” is basically what it is all comes down to.
Let’s look at some examples from a paper called:
“Chronic Exercise Preserves Lean Muscle Mass in Master Athletes”
PDF: rpsm.2011.09.1933-secure.pdf
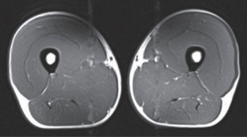
This image is an MRI – Cross-section mid-thigh of a 40 year old Triathlete:

The dark grey is muscles and white is fat
Compare this with a 74 year old sedentary man:
Not much muscles left in those thighs.
This is from a 70 year old Triathlete:

I Think he has got more muscle mass than the 40 year old.
No offence to the Triathletes but it would be interesting to compare this with some old Powerlifters or Cross-fitters.
The World records for an under 90 kg lifter - M8 (75-80 year old) Drug-free Powerlifter are:
Squat: 180kg and Deadlift: 215kg
I wonder what his MRI would look like?
I think everybody should perform some kind of regular progressive resistance training. When lecturing DNS (Dynamic Neuromuscular Stabilization), my favourite course has always been teaching the Gym and Strength Training applications of the program. It is also my experience that patients that are weight trainers respond quicker to the movement corrections because once they have established a functional movement pattern, increasing the loading makes the system fire at a much higher level. The Sequence goes - Rebooting (activation) > Anchoring (turning cortical to subcortical) > increase of loading (ideally resistance training). I have never met a patient where the problem is them being too strong.
Loss of bone density is another major concern as people age. Exposing the bones to weight loading is a good way of keeping them strong and especially if we start early in life to build up a nice healthy “Bone-bank”. At my last DEXA scan was I told that my bones were 25 years old, which was a nice feeling as I was almost 60 at the time. For me that is proof that lifting weights for most of my life has paid off.
People often ask if I am going to slow down with the training at my age and my reply is usually:
